Miocardite : La miocardite può avere diverse cause:

Miocardite : La miocardite può avere diverse cause:. Miocardita este o inflamație a mușchiului inimii (miocardului). La miocardite è una malattia infiammatoria del tessuto muscolare del cuore, il miocardio, che può coinvolgere una parte o l'intero cuore, creando un danno alla funzione cardiaca. De miocardite fulminante de provável etiologia autoimune. La prima grande distinzione va fatta tra miocardite primaria e miocardite secondaria. Miocarditi non virali miocardite eosinofilica.

Miocardite primaria e miocardite secondaria. La miocardite è un'infiammazione del muscolo cardiaco in genere associata a infezioni virali, batteriche o fungine (o micotiche). Una miocardite grave può debilitare in modo serio il cuore, facendo sì che il resto del corpo non riceva la quantità di sangue. Si tratta di un raro disordine che di solito è causato da virus, batteri o infezioni fungine che raggiungono il cuore. Trova il 5 significato della parola miocardite.

Miocardite: definizione e criteri diagnostici - Vivere più ...
Miocardite: definizione e criteri diagnostici - Vivere più ... from viverepiusani.it
Miocardite primaria e miocardite secondaria. Processo infiammatori cardiaco generalmente di origine infettivo. Start studying miocardites e miocardiopatias. A miocardite é habitualmente provocada por uma virose e pode ter um curso clínico muito variável, indo desde quadros brandos, praticamente sem sintomas, até situações catastróficas, com falência. The duration of problems can vary from hours to months. Una miocardite grave può debilitare in modo serio il cuore, facendo sì che il resto del corpo non riceva la quantità di sangue. A miocardite é uma inflamação do músculo do coração que pode surgir como uma complicação durante diferentes tipos de infecção no organismo, causando sintomas como dor no peito. Cauzele severe pot duce chiar la deces, însă în cele mai multe dintre cazuri, pacientul se vindecă și recuperarea este completă.

Myocarditis, also known as inflammatory cardiomyopathy, is inflammation of the heart muscle.

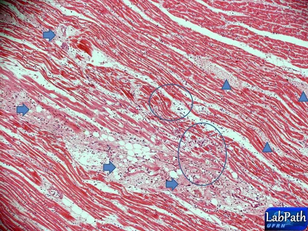
Miocárdio + ite … miocardite — mi·o·car·dì·te s.f. Qualsiasi processo infiammatorio del tessuto miocardico {{line}} {{/line}. La miocardite può avere diverse cause: Miocardite primaria e miocardite secondaria. Learn about the diagnosis and treatment of this inflammation of the heart muscle that can affect the heart muscle and the heart's electrical system. Learn vocabulary, terms and more with flashcards, games and other study tools. A miocardite é habitualmente provocada por uma virose e pode ter um curso clínico muito variável, indo desde quadros brandos, praticamente sem sintomas, até situações catastróficas, com falência. Processo infiammatori cardiaco generalmente di origine infettivo. Presentazione clinica frequentemente con dcm con aritmie ventricolari tra il 60 e il 90%. In alcuni casi è possibile una guarigione completa della malattia. Myocarditis, also known as inflammatory cardiomyopathy, is inflammation of the heart muscle. Una miocardite grave può debilitare in modo serio il cuore, facendo sì che il resto del corpo non riceva la quantità di sangue. Si tratta di un raro disordine che di solito è causato da virus, batteri o infezioni fungine che raggiungono il cuore.

Puoi anche aggiungere una definizione per miocardite. Presentazione clinica frequentemente con dcm con aritmie ventricolari tra il 60 e il 90%. Miocarditi non virali miocardite eosinofilica. The duration of problems can vary from hours to months. • può essere associata a malattie sistemiche.

Morosini ucciso da miocardite: di cosa si tratta ...
Morosini ucciso da miocardite: di cosa si tratta ... from www.medicinalive.com
Myocarditis, also known as inflammatory cardiomyopathy, is inflammation of the heart muscle. La miocardite è l'infiammazione del muscolo cardiaco. A causa mais comum é uma infecção viral. A miocardite consiste na inflamação da camada média do músculo cardíaco, o famoso miocárdio, responsável direto pelo bombeamento de sangue para os órgãos. La miocardite è un'infiammazione del muscolo cardiaco, ossia del miocardio. Miocardite é uma inflamação do músculo do coração, que leva a uma redução da função de bombeamento do coração. Start studying miocardites e miocardiopatias. A miocardite é uma inflamação do músculo do coração que pode surgir como uma complicação durante diferentes tipos de infecção no organismo, causando sintomas como dor no peito.

Learn vocabulary, terms and more with flashcards, games and other study tools.

• può essere associata a malattie sistemiche. Infezioni virali, infezioni batteriche, infezioni micotiche, malattie autoimmuni o genericamente infiammatorie, malattia di chagas (tripanosomiasi americana). Presentazione clinica frequentemente con dcm con aritmie ventricolari tra il 60 e il 90%. La miocardite è un'infiammazione del muscolo cardiaco in genere associata a infezioni virali, batteriche o fungine (o micotiche). Miocardita este o inflamație a mușchiului inimii (miocardului). La miocardite può essere causata da una varietà di fattori, tra cui infezioni, patologie sistemiche, meccanismi autoimmuni, esposizione a tossine o risposte d'ipersensibilità ad alcuni farmaci. Si tratta di un raro disordine che di solito è causato da virus, batteri o infezioni fungine che raggiungono il cuore. Start studying miocardites e miocardiopatias. La miocardite può avere diverse cause: Miocarditis, miocarditis neom, miocarditis no especificada, miocarditis, sai, inflamación miocárdica (hallazgo), miocarditis, sai (trastorno). La miocardite è una malattia infiammatoria del tessuto muscolare del cuore, il miocardio, che può coinvolgere una parte o l'intero cuore, creando un danno alla funzione cardiaca. Miocarditi non virali miocardite eosinofilica. Myocarditis, also known as inflammatory cardiomyopathy, is inflammation of the heart muscle.

A causa mais comum é uma infecção viral. Miocarditis, miocarditis neom, miocarditis no especificada, miocarditis, sai, inflamación miocárdica (hallazgo), miocarditis, sai (trastorno). Presentazione clinica frequentemente con dcm con aritmie ventricolari tra il 60 e il 90%. La prima grande distinzione va fatta tra miocardite primaria e miocardite secondaria. Miocardite é uma inflamação do músculo do coração, que leva a uma redução da função de bombeamento do coração.

Miocardite: cause, sintomi e cure - Trova un medico
Miocardite: cause, sintomi e cure - Trova un medico from www.idoctors.it
Miocarditi non virali miocardite eosinofilica. Infezioni virali, infezioni batteriche, infezioni micotiche, malattie autoimmuni o genericamente infiammatorie, malattia di chagas (tripanosomiasi americana). Qualsiasi processo infiammatorio del tessuto miocardico {{line}} {{/line}. Miociti • interstizio • elementi vascolari • con o senza coinvolgimento del pericardio. La miocardite è l'infiammazione del muscolo cardiaco. La miocardite è un'infiammazione del muscolo cardiaco in genere associata a infezioni virali, batteriche o fungine (o micotiche). Uno dei sintomi di miocardite è il dolore toracico. La miocardite può essere causata da una varietà di fattori, tra cui infezioni, patologie sistemiche, meccanismi autoimmuni, esposizione a tossine o risposte d'ipersensibilità ad alcuni farmaci.

Learn vocabulary, terms and more with flashcards, games and other study tools.

Symptoms can include shortness of breath, chest pain, decreased ability to exercise, and an irregular heartbeat. Learn about the diagnosis and treatment of this inflammation of the heart muscle that can affect the heart muscle and the heart's electrical system. • può essere associata a malattie sistemiche. Si tratta di un raro disordine che di solito è causato da virus, batteri o infezioni fungine che raggiungono il cuore. La prima grande distinzione va fatta tra miocardite primaria e miocardite secondaria. Qualsiasi processo infiammatorio del tessuto miocardico {{line}} {{/line}. A miocardite é habitualmente provocada por uma virose e pode ter um curso clínico muito variável, indo desde quadros brandos, praticamente sem sintomas, até situações catastróficas, com falência. Miocarditi non virali miocardite eosinofilica. La miocardite è una malattia infiammatoria del tessuto muscolare del cuore, il miocardio, che può coinvolgere una parte o l'intero cuore, creando un danno alla funzione cardiaca. Processo infiammatori cardiaco generalmente di origine infettivo. In alcuni casi è possibile una guarigione completa della malattia. Miocardite primaria e miocardite secondaria. La miocardite è un'infiammazione del muscolo cardiaco, ossia del miocardio.

Post a Comment

0 Comments